LP | 東京・銀座のクマとり専門クリニック【KumaCLI】
TOPへ戻る

アンケートにご回答いただいた方へ

無料カウンセリングの
ご案内をさせていただきます

専門の医師によるカウンセリング

アンケート
START
  • 1
  • 2
  • 3
  • 4
Question01

どちらの女性が若く見えますか?

↓A・Bどちらかのボタンをタップ↓
Answer01
Bを選ばれた方が多いかと思いますが
Bはクマ治療後のお客様です

目元美人にクマは無し

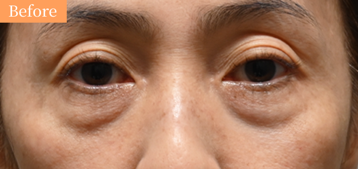
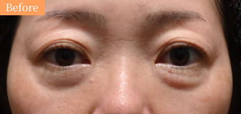
クマ治療は「見た目年齢」を大きく変える治療のひとつです。 クマがなくなると、顔全体が明るくなり、健康的で若々しい印象に。 「疲れて見える」「老けて見える」といった印象が改善され、第一印象もぐっと良くなります。
Check!
目の下のクマを治すだけで
一気に若々しい印象に!
  • 1
  • 2
  • 3
  • 4
Question02

クマ治療はご存知ですか?

Answer02
クマ治療とは
目の下のふくらみ・たるみの改善、色やシワを改善していく施術です。 症状が単一な方もいれば膨らみ・色味などと複合して目立っている方もいます。
1回の治療で長期的な効果!
クマの治療は根本の原因に直接アプローチするため、1回の施術で長期的な効果が期待できます。
  • 1
  • 2
  • 3
  • 4
Question03

クマ治療に興味はありますか?

Answer03
クマ治療は人相を変えずに
見た目を変える治療です
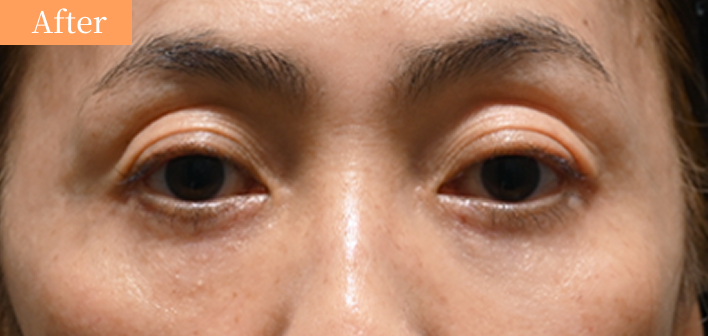
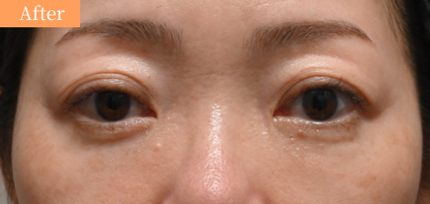
クマ治療をすると
若々しい印象に変わる
目の下のクマが改善されることで、顔全体が明るく見え、実年齢よりも若々しい印象を与えることができます。
疲れて見える印象を払拭
クマがあると「寝不足そう」「疲れている?」といった印象を与えがちですが、治療により健康的な印象へと変わります。
メイクでは隠しきれない悩みを根本改善
コンシーラーでは隠しきれない濃いクマや凹みも、医療の力で根本的に改善可能です。
  • 1
  • 2
  • 3
  • 4
Question04

「クマ治療=脂肪を取る」
だけだと思っていませんか?

Answer04
実はタイプ別に
“最適な治療法”が存在します
クマの種類は十人十色であるため、脂肪を取るだけで治療が成功する方は非常に稀です。すべての術式の中から、その人に最適なメニューを提供する事が治療成功に最も関与する要因です。
当院はあらゆる術式に
おいて全国レベル
裏ハムラ法evo
表evoリフト法+ナノリッチ
+コンデンスリッチ
裏evoリフト法+ナノリッチ
+マイクロコンデンスリッチ
+コンデンスリッチ
表ミッドフェイスリフト法
+ナノリッチ
+コンデンスリッチ
         
ご回答いただき
ありがとうございました
今より若返りたいあなたへ
無料カウンセリングの
ご案内

専門の医師によるカウンセリング

LINEで予約する
当院はクマ治療
特化したクリニック
美容医療も保険診療と同様にサブスペシャリティと言って細分化された専門施設を選ぶ時代に変化していきます。 クマ治療という一つの治療ジャンルにおいてその先駆けとなる専門施設がこのKuma CLIになります。
注意
クマ治療は
ドクター選びが
非常に大切です
クマ治療は、誰に・どこで任せるかで結果が大きく変わります。 一時的な改善ではなく、再発リスクまで見据えた設計、自然な仕上がり、的確な術式の選択 それを実現できるのは、“本物の専門性”を持ったクリニックだけ。 クマ治療は専門クリニックで。ドクター選びこそ、治療の成功に大きく関わります。
LINEで予約する